Tuesday, November 26, 2019

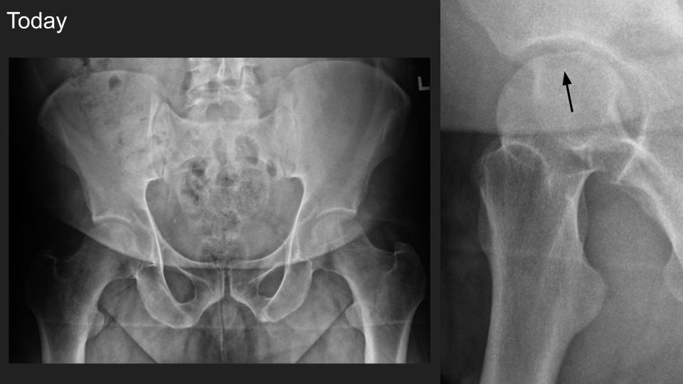
No history of trauma, acute onset of pain, reported as subhcondral fracture. 
Reported as normal
Reported as normal
There is new subtle smooth articular flattening visible in the Dunn view only
Is there real mixed lucency and sclerosis, or is this shine through of the acetabulum? Do you think there might be evolving AVN, or just subtle articular collapse related to prior fracture without AVN?  Would you recommend follow up MRI? Would you recommend DEXA?

No comments:

Post a Comment

OCAD LIVE 2020 Registration is Now Open

Join us for OCAD Live 2020! Saturday, March 28th 10 am - 5 pm UCLA - Santa Monica Orthopaedic Hospital Click HERE to register