Knee radiographs demonstrate a Schatzker Type I lateral tibial plateau fracture (red arrow). (See also case https://ocadmsk.blogspot.com/2019/11/29-yo-sp-injury-3-months-ago.htmlby Dr. Phillip Tirman)
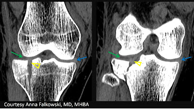
However, preoperative CT revealed an entrapped lateral meniscus (yellow outline) within the fracture.
Note the density of the entrapped lateral meniscus (yellow arrowheads) is equal to the normally located medial meniscus (blue arrows). While the usual meniscal space (green arrows) appears empty or shows lesser density material.
Normal outline of the ACL and PCL. So, the entrapped tissue is not one of those ligaments.
Postoperative imaging. The surgical notes confirmed the CT findings.
In the literature I found entrapped menisci described with a tibial eminence / tibial spine fracture (https://www.sciencedirect.com/science/article/pii/0749806395902082?via%3Dihubhttps://insights.ovid.com/pubmed?pmid=29227373), which is not the case here.
How often do you find entrapped structures (e.g. ligaments, tendons, menisci) within a fracture?
Any specific fractures or anatomical sites that are more prone to entrap soft tissue structures?
Do you know structures that are commonly entrapped?





This is a great case...reminds me of a study we did a long time ago https://www.ncbi.nlm.nih.gov/pubmed/17136560 where we found that it was useful to evaluate the contours of the collateral and cruciate ligaments on CT recons done for plateau fx. We found that CT was not helpful for meniscal tear, though you can see displaced bucket handle tears. We did not have cases of menisci trapped by the fracture in that series, though I have posted a case on MRI....will have to look for it.
ReplyDeleteThank you for sharing the link to your article Hilary. I agree, that it is very useful to take a look at ligaments. I remember Dr. David Rubin showed a great case of medial collateral ligament entrapment in a tibial fracture at ARRS on MRI. Don't know how easy it would have been to see it on CT. But, it demonstrates that our diagnosis might be not done with fracture. Radiologists might add crucial information by evaluating soft tissue on CT as well, e.g. a lot of clinicians (especially at ER with non-ortho trained residents) only take a look at the fracture itself. So, our information should go beyond just looking at bones on CT.
DeleteAlso, at the ankle we cannot only suspect ligamental injuries on CT, but also see tendon pathologies. See the cases in the following two articles https://www.ajronline.org/doi/full/10.2214/AJR.16.16657 and https://link.springer.com/article/10.1007%2Fs00256-016-2380-0
Great case, Anna! I have seen entrapment of the periosteum quite often, also in a physis after physiolysis. Disappointingly, the surgeon didnt care, and actually the physis healed without any problem.
ReplyDeleteInteresting! Do you think the entrapment of periosteum did not play a role in this case, because it was a child (still in development; higher turnover of periosteum and physis)?
Delete